• location 71 North Street
  • Carshalton
  • SM5 2HG
  • location 71 North Street
  • Carshalton
  • SM5 2HG

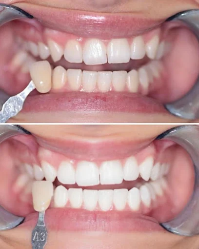
Reputable Dentist in Carshalton - See Our Work

At Carlton Dental, we’re proud of our reputation as a trusted dentist in Carshalton. Our Smile Gallery showcases real results from treatments such as veneers, dental implants, Invisalign, and teeth whitening.

Every image here represents a journey – and a confident new smile.

Why Choose Us

Choosing the right clinic for your smile makeover is an important decision. At Carlton Dental, we are known for our expertise, patient-first approach, and exceptional results.

Here’s why patients choose us as their dentist in Carshalton, Sutton, and surrounding areas:

  • Established local clinic with over 25 years of experience
  • Specialists in cosmetic treatments including veneers, implants, and Invisalign
  • Medically trained professionals using advanced technology like 3Shape TRIOS digital scanning
  • Transparent pricing with clear treatment plans and finance options available
  • Reputable dentist in Carshalton with high ratings on Google
  • Calm, welcoming environment designed for nervous or first-time patients
Syreene H
Syreene H
Read More
Excellent dentist. All staff are friendly and we are very much welcomed as a patients to the practice every time we attend. Always punctal, efficient and thorough. Thank you Carlton Dental Practice.
Madeline C
Madeline C
Read More
Amazing experience with Aliyah and her lovely dental nurse. She was extremely thorough and I walked out of there feeling and looking so much better. Will definitely be going back there.
Maxine L
Maxine L
Read More
Everyone that works there are really friendly and so helpful, all of my treatment was clearly explained and discussed with me. I would recommend going to this dental surgery.
Previous
Next

Ready to Discuss Your Smile Goals?

If you’re thinking about improving your smile, we’d love to hear from you. Our team offers personalised cosmetic consultations from our calming private dental clinic in Carshalton.

Get in touch today to schedule your consultation and start your journey to a confident smile.

Get in touch

Google Reviews
4.9
Google Reviews
Google Rating
  • location 71 North Street
  • Carshalton
  • SM5 2HG